足の外科グループ
足の外科グループ
足の外科グループでは、外反母趾、扁平足、変形性足関節症をはじめとする変形・変性疾患、足関節前方・後方インピンジメント症候群、足関節外側不安定症、外脛骨障害などのスポーツ障害・スポーツ関連疾患、その他外傷や関節リウマチの足部・足関節障害等、多岐にわたる「足の外科」疾患の診療を行っています。 雑賀建多
外来診察日
火曜午後・水曜曜午後(担当医師 雑賀・さいが)
足の外科グループが行っている代表的な手術
1.外反母趾矯正手術
術前

術後

術後3日より専用サンダルを履いて踵荷重歩行を開始
サンダルは骨切り部の骨癒合まで約3カ月間使用
重労働への復帰は術後4カ月以降に
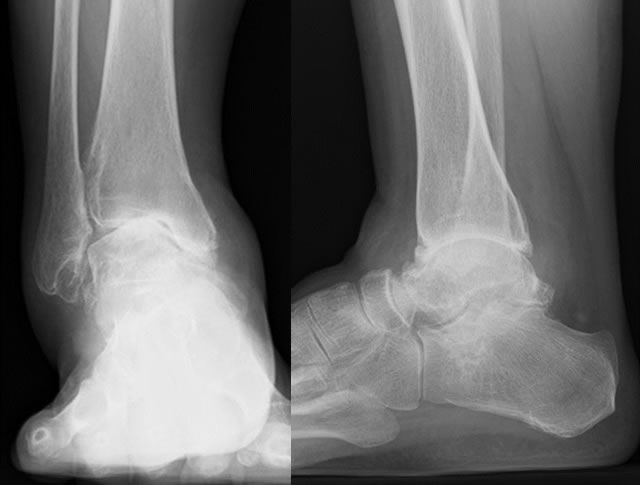
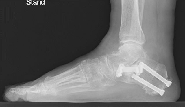
2.内反型変形性足関節症に対する鏡視下足関節固定術
術前

術後

術後10日、ヒール付きギプス固定で全荷重歩行開始
術後2カ月、ギプスから着脱可能な装具(サポーター)に変更
術後4カ月頃、骨癒合を確認し装具終了
3.変形性足関節症に対する人工足関節置換術
術前

術後

術後2週、抜糸後装具(サポーター)を使用し全荷重歩行開始
(内果骨切りを行った場合はギプス固定を術後1カ月半行う)
術後良好な足関節可動域

4.扁平足に対する変形矯正術
術前

術後

縦アーチの改善
術後1カ月、ギプス固定で部分荷重歩行開始
術後2カ月、ギプスから着脱可能な装具(サポーター)に変更
術後4カ月、骨癒合を確認し装具終了